17 年
手机商铺
入驻年限:17 年
客服部
北京
技术服务、试剂、抗体、细胞库 / 细胞培养、ELISA 试剂盒
生产厂商
公司新闻/正文
244 人阅读发布时间:2026-03-24 16:08
WB,Western Blot
一个科研界的「神级」实验,科研人的「老朋友」
却总是不经意的给你带来「致命痛苦」
条带弱、无信号、背景高、抗体失效……
一旦失败,就是36小时的再等待
不说影响论文进度,身心的煎熬有谁懂?
现在,「WB急救室」专题正式上线!我们将聚焦WB实验中的高频故障场景,以「急诊式」内容直击痛点:
| 「WB急救室」专题 |
| 【问题诊断室】:无条带、高背景、杂带多,逐步排查直达「病源」 |
| 【操作抢救包】:封闭配方改良方案、转膜失败急救指南、显影调控技巧……手把手带你「起死回生」 |
| 【真实案例库】:高手如何煮蛋白,事半功倍选内参,期刊投稿要整膜,Checklist与抗体筛选 |
| 【专家再答疑】:评论区随时提问,资深技术专家定时回复。文章底部还有「问诊单」,欢迎填写你在WB中遇到的难题,我们将不定期邀请技术「大咖」在线解惑。 |
WB条带弱、无信号可能与一抗选择及使用有关,首篇「问题诊断室」将详细讲解一抗使用中存在的五大问题及解决方案。开启本次「问题诊断室」,让你的WB实验效率翻倍!
问题一:一抗不适用于WB实验
根据抗体说明书或官网信息,确认此抗体是否适合用于WB实验。一般抗体说明书会列出该抗体经过了哪些应用验证,比如WB、IHC、ELISA等。当然,抗体说明书没有提及的应用,也不完全表示这个抗体不适用此种免疫实验,仅说明尚未经过此种实验的验证。你可在购买前详细咨询该公司的技术支持,以便获得更多准确信息。

问题二:一抗特异性差
需要做到“知己知彼”。通过文献资料或数据库,充分了解待检样品蛋白的序列、种属、表达特性等信息。抗体说明书一般会有免疫原的描述。有时涉及商业机密不会公开抗体的免疫原序列,我们可以将样品的蛋白序列提供给厂家,由其技术支持帮忙分析序列同源性并给出使用建议。如果检测样本为蛋白片段或同型物,选择含有此片段域免疫原的抗体。一些不常见样本(如猪、牛等)同样进行抗体的免疫原序列的同源性分析,如果超过90%,可以进行尝试。
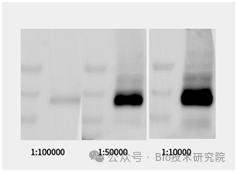
问题三:一抗浓度过低
经过验证的抗体会在说明书中标明WB推荐浓度,可以据此进行抗体稀释。首次使用一抗进行孵育时,建议根据说明书设计浓度梯度实验(如斑点印迹试验),以便选择最适的浓度进行孵育。

斑点印迹(Dot Blotting)一般操作步骤:
1,制膜:取硝酸纤维素膜,裁成需要的长度,用铅笔画出1cm×1cm的小格。
2,加样:将标准品稀释液、样品、阴性对照、阳性对照,各取2ul点在膜上正方形小格里。在点完一次后,干燥2-5分钟,再点一次。让膜干燥10-15分钟,或直至无可见水分。
3,封闭:将膜置于封闭液(如5%脱脂奶粉溶液)室温封闭1小时(或4℃过夜)。
4,孵育一抗:弃掉封闭液,加入按梯度稀释好的一抗工作液,室温震荡孵育1小时(或4℃过夜)。
5,洗膜:弃掉一抗工作液,用PBST或TBST缓冲液充分洗涤3次,每次5分钟。
6,孵育二抗:洗涤完成后,加入稀释好的二抗工作液,室温孵育1小时。
7,洗膜:弃掉一抗工作液,用PBST或TBST缓冲液充分洗涤3次,每次5分钟。
8,取出硝酸纤维素膜,用吸水纸吸去膜上多余溶液后,加入适量的发光液,均匀覆盖,室温孵育1-2分钟。显影。

斑点印迹结果图
问题四:一抗降解或失效(膜看起来黑黢黢的)

按照抗体说明书,选择合适的稀释液和保存温度。常用的稀释液包括PBS、TBST或市售抗体专用稀释液,不管选择哪种稀释液,都要明确其组分。一般建议抗体保存在-20℃,一些不含BSA和叠氮化物的抗体应保存在4℃,具体需以抗体说明书为准。
分装是避免抗体降解和污染的有效方法。收到抗体后,按照说明书进行离心,根据每次实验的常规用量进行分装。分装量不应少于10μL。抗体要避免反复冻融,一般保存于冰箱温度变化较小的区域,如冰箱后壁处,避免放置于冰箱门处。一些研究人员为了避免反复冻融造成的损失,会在抗体中添加50%(体积比)冷冻保护剂甘油。对于大多数抗体而言,这种方法可行,但仍需查阅说明书或咨询技术支持,确认抗体是否在这种保存条件下进行过稳定性测试。
光照会影响偶联抗体的活性,因此需要保存在棕色瓶中,或包裹铝箔。尤其是荧光偶联抗体易受光淬灭,在整个实验过程中都需避光操作。
问题五:一抗孵育时间不足
一抗4℃过夜孵育比常温孵育效果好。如果赶时间,可以室温孵育2h,抗体不能再回收使用。4℃孵育时间至少要超过9h。有些抗体反应“迟钝”的可能需要更长的孵育时间,如延长至2天。
WB条带弱或无条带,还与二抗、样品浓度及其他操作过程有关,我们将会在接下来的几篇文章中进行讨论,欢迎大家持续关注。如果您有哪些实验操作问题,欢迎在评论区留言,我们将会对问题进行整理后,交给专业的技术人员进行答疑!