17 年
手机商铺
入驻年限:17 年
客服部
北京
技术服务、试剂、抗体、细胞库 / 细胞培养、ELISA 试剂盒
生产厂商

Complement component 3重组蛋白|Recombinant Mouse Complement component 3 Protein (His Tag)
品牌:Sino Biological
¥4520 - 29350
咨询公司新闻/正文
1699 人阅读发布时间:2024-08-02 11:22
新药快讯
2024年3月Claudin18.2单抗Zolbetuximab(商品名:VYLOY)在日本获批上市,用于治疗Claudin18.2阳性的不可切除晚期或复发性胃癌。
Claudin18.2正常生理中仅在胃黏膜上皮细胞表达,但在多种恶性肿瘤高表达,是治疗前景巨大的新靶点。目前Claudin18.2抗肿瘤药物研发火热,类型和策略多样,如单抗、双抗、ADC、CAR-T等。本文将对Claudin18.2研究进展进行概述。
Claudin 18.2初相识
Claudin18.2属于紧密蛋白家族CLDN成员之一,由CLDN18基因编码。Claudin18.2是跨膜蛋白,包含4个跨膜区和2个胞外环。

Claudin18.2是一种跨膜蛋白
(图片源自参考文献DOI:10.1038/s41571-024-00874-2)
在正常组织中,Claudin18.2仅在胃黏膜的上皮细胞低水平表达,并深埋于紧密连接复合物中。当发生癌变时,细胞紧密连接被破坏,组织通透性增加,为肿瘤转移打开“方便之门”。
Claudin18.2表位暴露于肿瘤细胞表面,在亚洲胃癌患者人群中的阳性率高达74.4%,远高于HER2。Claudin18.2的高表达与癌症发生、发展、转移和预后有关,是继HER2之后胃癌治疗的关键靶点。
Claudin 18.2与肿瘤发展
调节细胞间连接:
Claudin18.2参与细胞间连接的形成和维持,通过与其他膜蛋白作用,形成细胞间连接的复杂网络。在肿瘤中,Claudin18.2高表达促进肿瘤细胞与周围细胞黏附和相互作用,影响细胞的生长、扩散和转移。
促进肿瘤细胞增殖:
Claudin18.2过度表达激活PI3K/Akt、MAPK等信号通路,促进肿瘤细胞的增殖。
促进肿瘤细胞转移:
Claudin18.2高表达能够改变肿瘤细胞的黏附性和可塑性,增加其转移和浸润的能力,增加肿瘤的恶性程度。
Claudin 18.2的药物研发
全球靶向Claudin18.2的产品类型包括单克隆抗体、双特异性抗体、CAR-T细胞疗法和ADC,相关药物及作用机制如图所示。

图片源自参考文献
(DOI:10.1038/s41571-024-00874-2)
从整个赛道来看,目前在研/上市的Claudin18.2药物几乎覆盖了大部分主流技术路线。根据智慧芽数据库统计,目前Claudin18.2单抗临床试验有69个,双抗有40个,ADC有56个,CAR-T疗法有35个,其他还有CAR-NK、小分子药物、纳米抗体等。
单克隆抗体
靶向Claudin18.2的单抗已获批上市。Zolbetuximab(IMAB 362)是一种IgG1嵌合mAb,由安斯泰来制药集团研发。Zolbetuximab用于治疗Claudin18.2阳性的不可切除晚期或复发性胃癌。SPOTLIGHT和GLOW临床Ⅲ期试验结果积极,无进展生存期、总生存期、中位总生存期等均有明显提高,显著改善患者治疗效果。

双特异性抗体
双特异性抗体的作用机制有聚集或定位免疫细胞、激活免疫细胞和阻断信号通路。目前进入临床试验的Claudin18.2双抗联合靶点有CD3、4-1BB、PD-L1、CD47、CD8、Tubulin等。双抗相对于单抗具有更强的特异性和更低的脱靶毒性,对实体瘤治疗潜力巨大。
信达生物在2024年ASCO大会上公布了CLDN18.2/CD3双抗(IBI389)治疗晚期胰腺癌(PDAC)和晚期胃或胃食管肿瘤(G/GEJC)患者的两项Ⅰ期临床研究结果。
报告分析了72例晚期不可手术或转移性胰腺导管腺癌受试者接受IBI389单药治疗数据。显示客观缓解率(ORR)为29.6%,疾病控制率(DCR)达70.4%,中位无进展生存期(PFS)尚未成熟。在治疗晚期实体瘤和胃或胃食管交界肿瘤方面,客观缓解率(ORR)和疾病控制率(DCR)分别为30.8%和73.1%。
Q-1802是FDA批准进入临床的Claudin18.2/PD-L1双抗。其通过Claudin18.2抗体的IgG1-Fc激活效应细胞杀伤肿瘤细胞,同时PD-L1抗体阻断PD-1信号,激活天然免疫和适应性免疫反应,促进T细胞杀伤肿瘤。Q-1802通过Claudin18.2抗体与PD-L1抗体协同作用,将PD-L1抗体特异性靶向到肿瘤中,提高亲和力和选择性,使Claudin18.2低表达患者也能获益,且毒副作用更低。Q-1802是启愈生物自主研发的人源化双抗,适应症为胃癌、胃食管交界处癌等。
ADC
2024年有3款Claudin18.2 ADC进入Ⅲ临床阶段,分别为信达生物的IBI343、阿斯利康的AZD0901和礼新医药的LM-302。
IBI343是Claudin18.2抗体-依喜替康偶联物。信达生物在欧洲肿瘤内科学会胃肠道肿瘤大会公布了IBI343治疗晚期胃或胃食管交界处腺癌(G/GEJ AC)的研究数据,在CLDN18.2表达阳性的胃癌患者中出色的疗效和良好的安全性,6mg/kg剂量组(N=30)的客观缓解率(ORR)和疾病控制率(DCR)分别为36.7%和93.3%。IBI343在胰腺癌治疗研究中,7例患者(5例PDAC和2例BTC)出现部分缓解,ORR为28.0%,DCR为80.0%。
AZD0901由抗Claudin18.2单克隆抗体、可裂解的链接体和细胞毒性小分子单甲基澳瑞他汀E(MMAE)组成。AZD0901通过多种机制杀伤肿瘤,如特异性结合Claudin18.2阳性细胞,通过内吞进入细胞溶酶体,释放MMAE,导致肿瘤细胞周期停滞并诱发细胞凋亡。还可以激活免疫防御,通过ADCC和CDC效应杀伤Claudin18.2阳性细胞。AZD0901由康诺亚生物和乐普生物研发,2023年以11亿美元授权给阿斯利康,进行全球研发、制造和商业化。AZD0901已获得美国FDA授予孤儿药资格及快速通道资格,并被CDE纳入突破性治疗品种。
LM-302毒素载荷同样为MMAE,作用机制与AZD0901基本一样。临床前研究表明,LM-302的体外抗体亲和力强,肿瘤杀伤活性好,安全性良好。在Claudin18.2低表达的肿瘤模型中疗效高于对照抗体Zolbetuximab。在临床I/II期研究中,36例既往接受过治疗的胃癌/GEJ癌患者中,客观缓解率(ORR)为30.6%(11/36),疾病控制率(DCR)为75.0%(27/36),中位无进展生存期(PFS)为7.16个月,中位生存期(OS)尚未达到。据clinicaltrials.gov显示LM-302已进入临床Ⅲ试验,适应症为CLDN18.2阳性局部晚期或转移性胃/胃食管交界处腺癌。
CAR-T
CAR-T一直受到靶点选择、实体瘤高异质性、免疫微环境抑制等难题的困扰,Claudin18.2强大的特异性使其成为实体瘤CAR-T领域的热门。国内已有多家公司布局Claudin18.2 CAR-T治疗,如科济药业、隆耀生物、传奇生物、北恒生物等,大多处于临床Ⅰ期。科济药业的CT041处于确证性临床Ⅱ期。

CAR-T在胃癌治疗中的研究进展
(图片源自参考文献DOI: 10.1200/EDBK_431060)
CT041由人源化抗Claudin18.2单链片段变体的CAR-T细胞组成,靶向和消除在细胞表面表达Claudin18.2的肿瘤细胞。用于治疗Claudin18.2阳性实体瘤,主要治疗胃癌/食管胃结合部腺癌及胰腺癌。2019年3月26日至2024年1月26日,共98例患者接受CT041输注,包括73例胃癌、10例胰腺癌、4例胆道癌、8例肠癌,3例其他肿瘤患者。中位随访时间为29.7个月。客观缓解率(ORR)和疾病控制率(DCR)分别达到37.8%和75.5%。可测量疾病的47例胃癌患者的ORR和DCR分别达到57.4%和83.0%。在24例晚期胰腺癌患者中有12例观察到肿瘤靶病灶不同程度缩小,总体客观缓解率(ORR)为16.7%,疾病控制率(DCR)为70.8%。所有患者未出现3级及以上CRS,整体安全性可控。
Claudin18.2靶向治疗面临的挑战
胃癌在我国属于高发癌症,治疗需要巨大,Claudin18.2是胃癌靶向治疗的理想靶点。研究发现Claudin18.2表达水平会影响治疗方法的效果,因此需要针对不同表达水平选择合适的Claudin18.2靶向治疗。ADC在Claudin18.2表达水平低的情况下具有潜在的有效性,而单抗多应用于Claudin18.2表达水平高的患者。双抗可能在Claudin18.2表达水平较低时有效,取决于另一个靶点。

Claudin18.2表达水平不同应选择的靶向治疗
(图片源自参考文献DOI:10.1038/s41571-024-00874-2)
此外,Claudin18.2靶点筛查方法以免疫组化为基础,开展临床试验时需要伴随诊断。Claudin18.2表达具有一定程度的时空异质性,研究采用的检测抗体可能会造成阳性率差异。因此需要多手段多维度(如免疫组织化学、液体活检等)筛查Claudin18.2阳性患者,精准治疗胃癌患者。


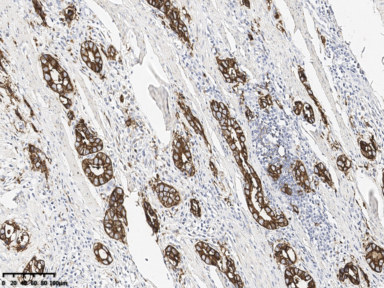
义翘神州抗Claudin兔单抗(产品:IHC078;109916-R179)对人胃癌组织IHC染色结果
|
义翘神州Claudin18 抗体产品 |
||
| 货号 | 应用 | 抗体类型 |
| 109819-T32 | WB | Rabbit PAb |
| 109915-MM02 | IHC-P | Mouse MAb |
| 109915-T08 | IHC-P | Rabbit PAb |
| 109916-R179 | IHC-P | Rabbit MAb |
| 109916-T08 | IHC-P | Rabbit PAb |
| 200116-T32 | WB | Rabbit PAb |
| 20047-T16 | ELISA | Rabbit PAb |