17 年
手机商铺
入驻年限:17 年
客服部
北京
技术服务、试剂、抗体、细胞库 / 细胞培养、ELISA 试剂盒
生产厂商

Complement component 3重组蛋白|Recombinant Mouse Complement component 3 Protein (His Tag)
品牌:Sino Biological
¥4520 - 29350
咨询公司新闻/正文
513 人阅读发布时间:2024-05-23 10:32
对于“磷酸化”,大家耳熟能详。
对于磷酸化蛋白检测,大家“苦不堪言”。
即便我们做到了“快、准、冷”,但还是难免检测不到信号。面对一次次的失败,我们脑海中难免会出现一个大大的问号:
如何提高磷酸化蛋白检测的成功率?
本文将以EGFR磷酸化抗体为例,从抗体特异性、灵敏度、磷酸化位点等方面,简述磷酸化蛋白检测的重点。
磷酸化抗体能够识别蛋白特定位点是否发生磷酸化,用于检测蛋白质的磷酸化水平。并且只能识别磷酸化的蛋白,不能识别非磷酸化的蛋白。义翘神州的一系列EGFR磷酸化抗体具有特异性,以Phospho-EGFR (Tyr1068) 抗体(货号:110463-R0027)为例,WB检测结果显示,用10 ng/mL的EGF(货号:10605-HNAE)处理血清饥饿的Hela细胞提取物30分钟,磷酸化EGFR抗体条带清晰显示,而未经EGF处理的细胞无磷酸化抗体条带。

图片源自义翘神州官网
EGFR属于细胞膜表面酪氨酸激酶受体。EGFR是单次跨膜蛋白,包括胞外域、跨膜区、胞内域。胞外域能够与多种配体结合,如EGF、TGF-α、HBEGF、双向调节蛋白(AR)、表皮调节素(EPR)等。跨膜区由23个疏水氨基酸组成。胞内域由激酶结构域及多个磷酸化位点组成。

EGFR激活机制(图片源自A. Conte and S. Sigismund, doi: 10.1016/bs.pmbts.2016.03.002)
当配体(如EGF或TNF-α)结合到胞外连接位点,EGFR激酶结构域形成一个同源二聚体或异源二聚体。在二聚化构象中,EGFR酪氨酸激酶区域在ATP存在下磷酸化,并触发细胞质调节域中特定酪氨酸残基的磷酸化,从而激活下游信号通路。活化的EGFR可将增殖信号和抗凋亡信号通过PI3K-AKT-mTOR、Ras-Raf-MEK-ERK1/2等多个下游信号传导途径,传递至细胞核,控制细胞生长和分裂等。
EGFR中有9个酪氨酸残基可在配体结合时磷酸化,并可作为含SH2和PTB结构域蛋白的结合位点。这些酪氨酸残基中有7个已被证明与信号效应活性有关。

EGFR C端磷酸化位点及其与信号效应器的相互作用(图片源自A. Conte and S. Sigismund, doi: 10.1016/bs.pmbts.2016.03.002)
蛋白质磷酸化是蛋白质重要的修饰机制,细胞中约1/3的蛋白质会发生磷酸化,涉及细胞转导、神经活动、肌肉收缩及细胞增殖、发育和分化等。
磷酸化蛋白的丰度较低,可能仅占细胞总蛋白的一小部分,大概只有总蛋白的10%左右。并且磷酸化蛋白还存在快速的去磷酸化难题。
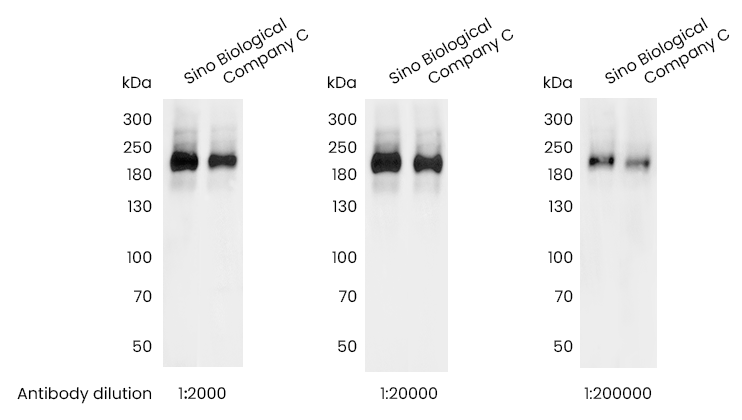
因此蛋白检测需要高灵敏度的磷酸化抗体,如义翘神州EGFR磷酸化抗体稀释20万倍,WB检测结果仍有清晰的条带。

不同稀释倍数Phospho-EGFR(Tyr1068)抗体(货号:110463-R0027)的WB检测结果。样品为10ng/mL EGF处理的30分钟的血清饥饿Hela细胞,抗体稀释倍数为1:2000、1:20000、1:200000。(图片来自义翘神州)
一般情况下,样品中蛋白质磷酸化水平较低,甚至不表达,因此需要通过物理或化学方法进行诱导或刺激。不同靶点刺激的时间和强度不同,需要查找文献或进行预实验。注意,刺激需要做到充分但不过量。刺激过久可能会进入负反馈机制,造成检测结果下降。
义翘神州用10ng/mL EGF处理血清饥饿Hela细胞,刺激时间分别为2、5、10、20、30、60、120分钟,检测EGFR 845位酪氨酸磷酸化。结果如下,刺激10-20分钟效果最佳,超过30分钟基本检测不到条带。

图片来自义翘神州
磷酸化抗体是针对磷酸化位点制备的,不同位点需要对应的抗体进行检测。如EGFR中有9个酪氨酸残基可在配体结合时磷酸化,Y1148、Y1173、Y1068等。
这些位点识别结合不同的信号效应器。磷酸化的Y992、Y1148、Y1173识别结合SHC,磷酸化的Y1068、Y1086结合GRB2。因此在选择磷酸化抗体之前,一定要先查阅文献或者根据磷酸激酶来判断可能的磷酸化位点。
| 不同磷酸化位点的EGFR抗体 | ||
| 货号 | 磷酸化位点 | 抗体类型 |
| 110828-R0007 | Tyr845 | Rabbit MAb |
| 110844-R0002 | Tyr1173 | Rabbit MAb |
| 110842-R0004 | Tyr1148 | Rabbit MAb |
| 110463-R0027 | Tyr1068 | Rabbit MAb |
| 110840-R0002 | Tyr1045 | Rabbit MAb |
1,Conte, A., & Sigismund, S. (2016). Chapter Six - The Ubiquitin Network in the Control of EGFR Endocytosis and Signaling. Prog Mol Biol Transl Sci, https://doi.org/10.1016/bs.pmbts.2016.03.002
2,Lemmon, M. A. (2009). Ligand-induced ErbB receptor dimerization. Exp Cell Res, https://doi.org/10.1016/j.yexcr.2008.10.024
3,Zeng, F., Singh, A. B., & Harris, R. C. (2009). The role of the EGF family of ligands and receptors in renal development, physiology and pathophysiology. Exp Cell Res, https://doi.org/10.1016/j.yexcr.2008.08.005