01 钙粘蛋白概述
钙粘蛋白(Cadherin,简写CDH)是细胞粘附分子,在维持正常状态下的组织结构和形态方面起着重要作用,CDH的表达失调往往与疾病有关,包括组织发育不良、肿瘤形成和转移。
钙粘蛋白是钙依赖性粘附分子的超家族,至少有六个亚家族,CDH家族拥有23个成员,从CDH1到CDH26。生理学上,钙粘蛋白有助于形成紧密连接和粘附连接,这对上皮屏障功能至关重要,调节神经系统内的突触粘附,影响学习和记忆。病理学上,钙粘蛋白表达或功能的改变与癌症进展相关。
许多致癌信号通路修饰钙粘蛋白细胞-细胞粘附,如p27介导的信号传导、MAPK、Ras、Rac1信号传导、PI3K/AKT信号传导以及Hippo信号传导。钙粘蛋白的异常表达与肿瘤的转移、血管生成、粘附和侵袭有关。如在肿瘤细胞中TGF-β1、Wnt/β-catenin、EGFR和NF-κB等调控CDH2的表达。
CDH17与Claudin18特异性靶点相似,在正常组织中仅位于并局限于肠上皮细胞之间紧密连接的侧膜上,不表达在顶端或底面,但在肿瘤细胞表面表达。CDH17在超过50%胃癌、90%~95%结直肠癌、53%胆管癌,50%胰腺癌及部分肝癌中表达。CDH17与多种实体瘤预后相关,在胃癌和结直肠癌患者中,CDH17高表达与更短的生存期和疾病无进展相关。
02 重组钙粘蛋白研究应用
重组钙粘蛋白在各种生物医学研究中至关重要,包括细胞粘附、癌症、药物筛选和心血管研究。研究人员使用这些蛋白质来探索细胞行为、粘附机制、自身抗体介导的切割和病毒-宿主相互作用,为疾病治疗和药物开发提供帮助。
Eftekharjoo等人以重组CDH1(E-Cadherin)-Fc蛋白(购自义翘神州,货号:10204-H02H)为涂层构建软硅胶基质,研究E-Cadherin蛋白粘附机制,对以上皮细胞弹性改变为特征的癌症等疾病治疗具有重要意义。Li等人以CDH2重组蛋白(购自义翘神州,货号:
11039-H08H)为抗原,构建scFv全人源噬菌体展示文库筛选双特异性抗体,并通过ELISA验证抗体与CDH2重组蛋白的亲和力。Yeruva等人以CDH2(N-Cadherin)重组蛋白(购自义翘神州,货号:
11039-H03H)进行免疫染色解离、WB免疫印迹等分析,结果发现致心律失常性心肌病(AC)患者自身抗体对CDH2和DSG2具有催化活性,减少粘附分子间的相互作用。Shen等人研究发现颗粒酶B(GzmB)裂解重组CDH5(VE-Cadherin)蛋白(购自义翘神州,货号:
50192-M08H)导致内皮屏障功能破坏和血管通透性增加,影响心脏纤维化发展。Zhao等人通过体外裂解实验确定CDH6(购自义翘神州,货号:
10150-H08H)和CDH12(购自义翘神州,货号:
10317-H08H)是蛋白酶3CLpro的新型底物,为进一步加深SARS-COV-2与宿主相互作用机制的了解。
用于基质涂层
设计具有亚kPa和几kPa弹性的定向重组CDH1(E-Cadherin)-Fc蛋白(购自义翘神州,货号:
10204-H02H)涂层的软硅胶基质,发现肌动蛋白以两种不同方式组织E-Cadherin粘附。doi: 10.1021/acsbiomaterials.2c00253
用于ELISA检测

ELISA包埋CDH2重组蛋白(购自义翘神州,货号:
11039-H08H)检测anti-Ncad scFvs抗体亲和力,其中A6显示出高亲和力,解离常数低至1.5nM。doi: 10.1093/protein/gzv024
用于免疫印迹检测

来自AC患者(AC1-15)及健康对照供体的IgG,不经过或经过蛋白酶抑制剂处理(C或I),加入200ng CDH2(购自义翘神州,货号:
11039-H03H),37℃孵育4小时后,通过SDS-PAGE分析IgG对CDH2的裂解效果(#表示被切割的片段)。Doi: 10.1007/s00018-023-04853-1

GzmB介导的CDH5(购自义翘神州,货号:
50192-M08H)裂解的蛋白印迹结果。箭头指示CDH5裂解的片段,丝氨酸蛋白酶抑制剂SA3N的存在抑制CDH5的裂解。Doi: 10.1016/j.ajpath.2015.09.010.
用于免疫印迹和质谱检测

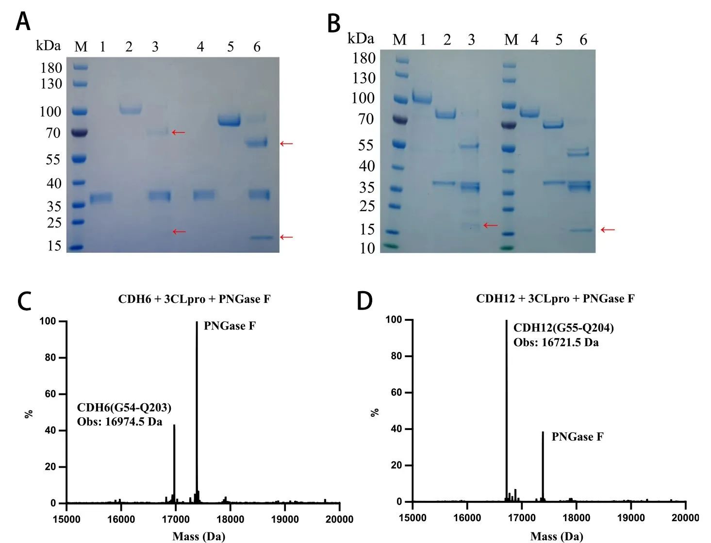
体外裂解实验验证CDH6(购自义翘神州,货号:
10150-H08H)和CDH12(购自义翘神州,货号:
10317-H08H)是3CLPro的新型底物。图A:CDH6和CDH12裂解电泳图,泳道1和4为3CLpro,泳道2和5分别为CDH6和CDH12重组蛋白,泳道3和6为3CLpro与CDH6或CDH12在37℃孵育4h后样品。红色“←”表示CDH的裂解片段。图B:加入PNGase F确定CDH6和CDH12的N端裂解片段。图C和D:质谱分析CDH6和CDH12裂解和脱糖N端片段的质量。Doi: 10.1016/j.jbc.2023.104831
✦义翘神州CDH特色产品
义翘神州的产品已支持多篇文章发表在国内外学术期刊,涉及到的产品有重组蛋白、抗体、ELISA试剂、基因等。
Human CDH17 Protein (His Tag) (Cat: 11360-H08H)

Purity: ≥88% by SDS-PAGE, ≥90% by SEC-HPLE
Recombinant Anti-N Cadherin Antibody, Rabbit Monoclonal (Cat: 11039-R020)
应用:WB、ELISA、FCM、ICC/IF

Immunofluorescence staining of Human CDH2 in Hela cells.
Anti-H Cadherin Antibody, Rabbit Polyclonal (Cat: 51163-T52)
应用:WB、ELISA、IP

Hela Whole Cell Lysate probed with Anti-CDH13 rabbit polyclonal antibody
【参考文献】
1. Kaszak, I. et al. Role of cadherins in cancer—a review. International Journal of Molecular Sciences, 2020. https://doi.org/10.3390/ijms21207624
2. Marie, P. J. et al. Cadherin-mediated cell-cell adhesion and signaling in the skeleton. Calcified Tissue International, 2014. https://doi.org/10.1007/s00223-013-9733-7
3. Liu, L. X. et al. Targeting Cadherin-17 Inactivates Wnt Signaling and Inhibits Tumor Growth in Liver Carcinoma. Hepatology, 2009.
4. Casal, J. I. & Bartolomé, R. A. Beyond N-cadherin, the relevance of cadherins 5, 6 and 17 in cancer progression and metastasis. Int J Mol Sci, 2019.
5. Eftekharjoo, M., Mezher, M., Chatterji, S. & Maruthamuthu, V. Epithelial Cell-Like Elasticity Modulates Actin-Dependent E-Cadherin Adhesion Organization. ACS Biomater Sci Eng, 2022.
6. Yeruva, S. et al. Catalytic antibodies in arrhythmogenic cardiomyopathy patients cleave desmoglein 2 and N-cadherin and impair cardiomyocyte cohesion. Cellular and Molecular Life Sciences, 2023.
7. Zhao, K., et al. Identification of SARS-CoV-2 PLpro and 3CLpro human proteome substrates using substrate phage display coupled with protein network analysis. Journal of Biological Chemistry, 2023.
8. Shen, Y. et al. Granzyme B Deficiency Protects against Angiotensin II-Induced Cardiac Fibrosis. American Journal of Pathology, 2016.
9. Li, K. et al. A fully human scFv phage display library for rapid antibody fragment reformatting. Protein Engineering, Design and Selection, 2015.