前 言
ERK1/2是RAF-MEK-ERK信号通路的关键组成部分,在Thr202、Tyr204位点被磷酸化从而激活,进而激活多种与细胞增殖、分化、迁移和血管生成相关的底物(超过160种)。因此ERK1/2的(Thr202, Tyr204)/(Thr185, Tyr187)磷酸化是ERK激活的关键步骤,也是相关研究中不可或缺的检测指标。ERK1/2宛如“风暴中的风眼”,RAS、RAF、MEK的突变激活均可导致ERK的过度激活,并持续激活ERK下游底物,导致肿瘤发生发展。义翘神州为了助力研究现向大家免费提供磷酸化抗体试用装。
01 ERK信号转导机制
ERK有两种亚型:ERK1和ERK2,两者有84%的氨基酸残基相同。ERK1/2具有典型的蛋白激酶结构,通过磷酸化底物对细胞生命活动进行调控。细胞因子、激素、细胞应激等胞外信号通过跨膜受体进入细胞,沿着RAF-MEK-ERK信号通路传递到细胞内。此过程中,ERK1/2是MEK的底物,却可以磷酸化百种下游细胞质和细胞核底物,因此在胞外信号向胞内传递过程中具有重要作用。
如图所示,ERK1/2处于胞外刺激信号传导到胞内风暴的中心,且风暴中心能够进行移动。上游信号经由RAS-RAF-MEK-ERK信号级联依次传递,激活后的ERK从细胞质转移至细胞核,从而激活多种与细胞增殖、分化、迁移和血管生成相关的底物。RAS、RAF、MEK突变激活被发现普遍存在于人类癌症中,这些上游突变均可导致ERK的过度激活,并持续激活ERK下游底物,导致肿瘤细胞的增殖、分化和转移。

ERK1/2在信号转导的中心地位(源自https://doi.org/10.3390/ijms23031464)
02 ERK1/2临床研究进展
在肿瘤中,RAS-RAF-MEK-ERK通路也如风暴中心一般,外围天翻地覆,内里却愈发平静。在所有肿瘤中RAS基因的突变率高达30%,BRAF的突变率为7-10%,而MEK的突变率不足1%,ERK的突变则极为罕见。肿瘤细胞中ERK的上游频繁突变,导致ERK异常激活,从而增强了肿瘤的生存转移能力,因此ERK也是重要的药物靶点。
根据药融云数据,目前以ERK1/2为靶点的药物临床进展如下图。研究主要集中在肿瘤领域,大多处于药物发现阶段。在药物研究中,进展较快的有靶向多种肿瘤的ulixertinib,以阿尔茨海默病为适应症的NE3107,处于临床三期。

ERK1/2靶点药物全球在研状态(数据来源于药融云)
✦义翘神州ERK磷酸化抗体
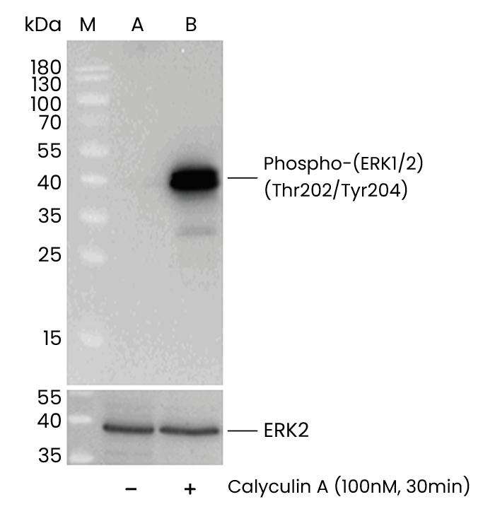
内源性验证
Western blot analysis of extracts from serum-starved Hela, untreated (-) or treated with Calyculin A (100nM, 30 min; +), using Phospho-p44/42 MAPK (Erk1/2) (Thr202, Tyr204) rabbit monoclonal Antibody (Cat:
110441-R0072) (upper), or Anti-ERK2 rabbit polyclonal antibody (Cat:
10030-T52) at 1:1000 dilution (lower).
图注:Western blot analysis of 15μg extracts from serum-starved NIH-3T3, untreated (-); treated with PDGFA (Cat:
13081-H07Y) (5 μg/mL, 5 min; +), using Phospho-ERK1/2 (Thr202, Tyr204) Antibody, Rabbit MAb (Cat:
110441-R0072) at 1:1000 dilution.
特异性验证
Western blot analysis of extracts from serum-starved Hela, untreated (line A); treated with Calyculin A (100nM, 30 min), without peptide (line B) or antigen-specific phosphopeptide (line C) or antigen-specific peptide (line D) using Phospho-p44/42 MAPK (Erk1/2) (Thr202, Tyr204) rabbit monoclonal Antibody (Cat:
110441-R0072) at 1:1000 dilution.
超高稀释度
Western blot analysis of extracts from serum-starved Hela, treated with Calyculin A (100nM, 30 min), using Phospho-p44/42 MAPK (Erk1/2) (Thr202, Tyr204) rabbit monoclonal Antibody (Cat:
110441-R0072) (Sino Biological) and other brands’ antibodies (company C) at dilution of 1:1000, 1:10000 and 1:200000.
磷酸化抗体(免费试用装火热申请中!)
相关抗体产品(部分)
相关蛋白产品(部分)
注:蛋白纯度均为SDS-PAGE检测结果
【参考文献】
1. Boulton, et al. An insulin-stimulated protein kinase similar to yeast kinases involved in cell cycle control. Science, 1990. https://doi.org/10.1126/science.2164259
2. Lavoie, H., Gagnon, J., & Therrien, M. ERK signalling: a master regulator of cell behaviour, life and fate. Nat Rev Mol Cell Biol, 2020. https://doi.org/10.1038/s41580-020-0255-7
3. Reading, C. L., Ahlem, C. N., & Murphy, M. F. NM101 Phase III study of NE3107 in Alzheimer's disease: rationale, design and therapeutic modulation of neuroinflammation and insulin resistance. Neurodegener Dis Manag, 2021. https://doi.org/10.2217/nmt-2021-0022
4. Sigaud, et al. The first-in-class ERK inhibitor ulixertinib shows promising activity in mitogen-activated protein kinase (MAPK)-driven pediatric low-grade glioma models. Neuro Oncol, 2023. https://doi.org/10.1093/neuonc/noac183
5. Ullah, et al. RAF-MEK-ERK pathway in cancer evolution and treatment. Semin Cancer Biol, 2022. https://doi.org/10.1016/j.semcancer.2021.05.010
6. Wen, X., Jiao, L., & Tan, H. MAPK/ERK Pathway as a Central Regulator in Vertebrate Organ Regeneration. Int J Mol Sci, 2022. https://doi.org/10.3390/ijms23031464