前 言
TROP2属于肿瘤相关抗原之一,在多种肿瘤中表达升高,促进肿瘤细胞生长、增殖和转移。TROP2已经成为近年来NEJM、肿瘤学期刊、药物研发的多重热点。通过PubMed检索到477篇相关文献,自2020年文献数量逐步增加,2022年达81篇,涉及抗体偶联药物、过表达、癌症、干细胞、神经系统疾病、预后标志物等。目前已有一款TROP2 ADC抗体药物上市。7月3日第一三共宣布其正在进行的TROP2-ADC临床Ⅲ期获得阳性结果。尽管TROP2机制研究已相对清楚,但在不同疾病中的干预效果研究还远远不足,还需要进行大量的科学研究。
01 TROP2 靶点信息
TROP2(Trophoblast Cell-surface Antigen 2),中文名为人滋养层细胞表面抗原2,是一种广泛表达的糖蛋白和上皮细胞粘附分子(EpCAM)家族成员。研究表明,TROP2在人体健康组织中有不同水平的表达,在乳腺、肾脏以及胰脏的上皮组织有较高表达,并在肿瘤中表达水平显著升高,与乳腺癌、肺癌、胃癌、胰腺癌、结肠癌、前列腺癌、宫颈癌等疾病的发生和发展及预后密切相关。TROP2因在多种实体瘤中高表达而成为泛癌靶点,是抗癌药物开发的潜力靶点之一。
TROP2为I型跨膜蛋白,由N-端胞外域、单向跨膜结构域和胞内结构域组合而成固定于胞膜。胞内域第303位的丝氨酸残基,可被PKC磷酸化而激活下游信号通路。

TROP2蛋白结构(源自参考文献1)
02 TROP2 作用机制
TROP2是一种肿瘤相关抗原(TAA),其过表达在肿瘤生长过程中起着关键作用。TROP2与多种细胞信号通路有关,包括钙离子信号通路、MAPK/ERK、PARP1、PI3K/AKT、BAX/BCL2、JAK/STAT、NF-κB等。并通过调节Bax/BCL-2、CyclinD1、CyclinE、CDK2、CDK4、p27和E-cadherin等分子的表达,而调节细胞周期进程,介导细胞凋亡,促进肿瘤细胞的生长、增殖、迁移。

TROP2相关信号通路(源自参考文献1、5、7)
TROP2通过Ca2+信号通路,调节细胞周期。TROP2胞内域S303发生磷酸化,PIP2进一步水解为IP3和DAG,IP3通过内质网释放Ca2+,刺激MAPK信号通路,促进AP-1的活化。AP-1在癌变过程起重要作用,诱导血管生成、促进细胞凋亡、加速细胞周期、促进细胞侵袭,并可引起EMT促进细胞增值。
TROP2促进肿瘤侵袭和转移。TROP2可富集细胞膜上的RACK1,减少纤连蛋白与整合素β-1之间的结合。TROP2通过整合素β-1-RACK1-Src/FAK信号传递轴,降低肿瘤细胞粘附并促进转移。
TROP2胞内水解为ECD(胞外结构域)和ICD(胞内结构域)。ICD与β-catenin参与Wnt信号通路级联反应,促进原癌基因的转录及细胞增殖。
03 TROP2 靶点主要在研药物
靶向TROP2的在研药物种类有单抗ADC、双抗、Fab抗体、CAR-T及CAR-NK等,其中ADC药物药物进展较快。药物适应症有三阴性乳腺癌、尿路上皮癌、非小细胞癌和多种实体瘤。如下表整理出部分已上市及进入临床阶段的药物。
临床试验中的CD93靶向药物列表
| 药物代码 | 药物类型 | 适应症 | 临床进展 | 研发企业 |
|---|
| IMMU-132 | 抗体偶联药物、人源化单抗 | 实体瘤、膀胱癌、三阴性乳腺癌、非小细胞肺癌、子言颈癌等 | 批准上市 | 吉利德 |
| Dato-DXd | 抗体偶联药物、人源化单抗 | 实体瘤、乳腺癌、非/小细胞肺癌、转移性乳腺癌等 | Ⅲ期 | 第一三共制药 |
| SKB-264 | 抗体偶联药物、人源化单抗 | 实体瘤、膀胱癌、三阴性乳腺癌、非小细胞肺癌、子宫颈癌等 | Ⅲ期 | 科伦药业 |
| ESG-401 | 抗体偶联药物、人源化单抗 | 实体瘤、乳腺癌、转移性癌症、肝细胞癌、小细胞肺癌等 | Ⅱ期 | 吉利德 |
| BIO-106 | 抗体偶联药物 | 晚期实体瘤 | Ⅱ期 | BiOneCure |
| DB-1305 | 抗体偶联药物 | 晚期实体瘤、转移性乳腺癌、转移性非小细胞肺癌、小细胞肺癌 | Ⅱ期 | 映恩生物 |
| JS-108 | 抗体偶联药物、人源化单抗 | 晚期实体瘤、转移性乳腺癌、转移性非小细胞肺癌、转移性胰腺癌、小细胞肺癌 | Ⅰ期 | 多禧生物 |
| FDA018-AD | 抗体偶联药物、人源化单抗 | 晚期实体瘤、膀胱癌、乳腺肿瘤、胃肿瘤 | Ⅰ期 | 复旦张江 |
| BL-M02D1 | 抗体偶联药物 | 晚期实体瘤、肺部肿瘤、转移性乳腺癌、转移性胃肠道癌、非小细胞肺癌 | Ⅰ期 | 百利药业 |
| BAT-8008 | 抗体偶联药物、人源化单抗 | 晚期实体瘤 | Ⅰ期 | 百奥泰 |
来源:数据源自药融云数据库
✦义翘神州TROP 2明星产品
助力TROP2靶点相关研究,义翘神州提供100+ TROP2蛋白、抗体、试剂盒等生物试剂产品。抗体适用于IHC-P、FCM、ICC/IF、WB、ELISA等多种检测,可用于交叉检测人、小鼠、大鼠、猴。更有信号通路磷酸化抗体以及TROP2研究相关分子的各类产品现货供应。同时提供免疫学、亲和力与活性检测、以及抗体定制开发等服务项目,全方位满足TROP2科研与药物开发需要。
TROP2 抗体产品
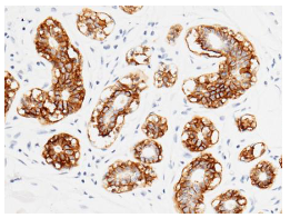
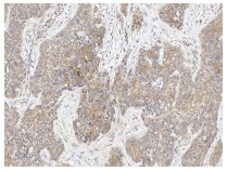
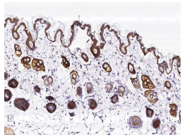
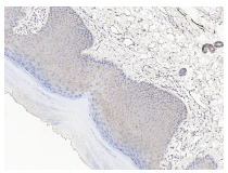
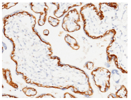
1【免疫组化】
检测TROP2在肿瘤和正常组织中的表达,信噪比高
2【免疫荧光】
检测TROP2在癌细胞中的表达,定位准确
3【流式细胞】
检测TROP2在癌细胞中的表达
4【WB】
检测TROP2在癌细胞中的表达
TROP2 热门抗体产品(部分)
磷酸化抗体 (免费试用装火热申请中!)
AKT Ser473磷酸化抗体(Cat:
110591-R0113)是义翘神州通过自有的兔单B流式分选技术制备的兔单克隆抗体,具有高特异性(内源性验证、竞争验证)、高灵敏度(1:200000)等特点。
TROP2 ELISA试剂盒
TROP2 ELISA 产品
TROP2 热门蛋白产品(部分)
注:☆为SEC-HPLC检测结果,其余为SDS-PAGE结果
【参考文献】
[1] Liao S, et al., Recent advances in trophoblast cell-surface antigen 2 targeted therapy for solid tumors. Drug Dev Res. 2021. doi: 10.1002/ddr.21870.
[2] Lipinski M, et al., Human trophoblast cell-surface antigens defined by monoclonal antibodies. Proc Natl Acad Sci U S A. 1981. doi: 10.1073/pnas.78.8.5147.
[3] Goldenberg DM, Stein R, Sharkey RM. The emergence of trophoblast cell-surface antigen 2 (TROP-2) as a novel cancer target. Oncotarget. 2018. doi: 10.18632/oncotarget.25615.
[4] Stepan LP, et al., Expression of Trop2 cell surface glycoprotein in normal and tumor tissues: potential implications as a cancer therapeutic target. J Histochem Cytochem. 2011. doi: 10.1369/0022155411410430.
[5] Trerotola M, et al., Trop-2 inhibits prostate cancer cell adhesion to fibronectin through the β1 integrin-RACK1 axis. J Cell Physiol. 2012. doi: 10.1002/jcp.24074.
[6] Lenárt S, et al., Trop2: Jack of All Trades, Master of None. Cancers (Basel). 2020. doi: 10.3390/cancers12113328.
[7] Michelle Shen, et al., The role of Trop2 in prostate cancer: an oncogene, biomarker, and therapeutic target. Am J Clin Exp Urol. 2021
[8] Nishimura T, et al., Photoimmunotherapy targeting biliary-pancreatic cancer with humanized anti-TROP2 antibody. Cancer Med. 2019. doi: 10.1002/cam4.2658.
[9] Cai J, et al., The role of the PTEN/PI3K/Akt pathway on prognosis in epithelial ovarian cancer: a meta-analysis. Oncologist. 2014. doi: 10.1634/theoncologist.2013-0333.
[10] Lin H, et al., A novel human Fab antibody for Trop2 inhibits breast cancer growth in vitro and in vivo. Int J Cancer. 2014. doi: 10.1002/ijc.28451.
[11] Yuan M, et al., The tumor-inhibitory effectiveness of a novel anti-Trop2 Fab conjugate in pancreatic cancer. Oncotarget, 2016. doi: 10.18632/oncotarget.8529.
[12] Hongjia Zhu, et al., CAR T cells equipped with a fully human scFv targeting Trop2 can be used to treat pancreatic cancer. Journal of Cancer Research and Clinical Oncology volume 2022. doi: 10.1007/s00432-022-04017-x.
[13] Poorebrahim M, et al., A costimulatory chimeric antigen receptor targeting TROP2 enhances the cytotoxicity of NK cells expressing a T cell receptor reactive to human papillomavirus type 16 E7. Cancer Lett. 2023. doi: 10.1016/j.canlet.2023.216242.
[14] 于群,苗庆芳.抗肿瘤药物靶点Trop2研究进展[J].中国医药生物技术,2018.